Niềng răng là kĩ thuật được sử dụng để điều trị cho các trường hợp răng hô, móm, thưa,…Đây là phương pháp vốn đã có từ lâu. Và cho đến ngày nay, kĩ thuật niềng răng ngày càng cải tiến đem lại nhiều lợi ích, sự tiện lợi cho người sử dụng. Tiêu biểu phương pháp niềng răng thưa ngày càng được ưa chuộng hơn so với trám răng thưa và bọc răng sứ. Vậy vì sao nên lựa chọn niềng răng thưa ? Bài viết dưới đây sẽ giúp các bạn hiểu rõ hơn nhé.
Vì sao nên niềng răng thưa?
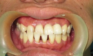
Răng thưa là biểu hiện của răng không khít đều nhau mà sẽ cách nhau một khoảng nhất định. Răng thưa là nhươc điểm kkhông gây tác hại nghiêm trọng cho sức khỏe răng miệng nhưng lại ảnh hưởng đến thẩm mỹ gương mặt. Nhiều người cho rằng răng thưa là do bẩm sinh nhưng thực tế răng thưa cũng là hậu quả của một số thói quen không tốt:
- Thiếu mầm răng vĩnh viễn
- Răng thừa mọc lệch lạc
- Bệnh viêm nướu ăn mòn các mô mềm.
- Kích thước răng nhỏ hơn so với cung hàm.
- Thói quen xỉa răng bằng tăm lớn thường xuyên.
Vì vậy, niềng răng thưa được xem là cách giải quyết tối ưu nhất. Niềng răng thưa là cơ chế tác động một lực xiết từ dây cung-mắc cài để kéo các răng xích lại gần nhau hơn đến khi khít hẳn. Trong liệu trình khoảng 1-3 năm, răng sẽ đẹp, đều và không xảy ra bất cứ nguy hiểm nào. So với trám răng và bọc răng sứ, tuy có chi phí cao hơn nhưng niềng răng đem lại hiệu quả cao hơn, đặc biệt không làm mòn cổ răng khỏe mạnh; tẩy trắng răng bao lâu; trám hay bọc sứ chỉ là thao tác "lấp đầy" kẻ hở, buộc phải mài mòn cổ răng kề cận.

Niềng răng thưa có những phương pháp nào?
Có nhiều loại hình niềng răng thưa, từ truyền thống đến hiện đại. Trước đây thường chỉ có phương pháp niềng răng kim loại, loại hình này cũng đem lại hiệu quả cao nhưng tính thẩm mỹ không có. Vì vậy, để đáp ứng nhu cầu thẩm mỹ của đại đa số khách hàng hiện nay, chuyên gia đã ứng dụng hai loại hình niềng răng sau:
Niềng răng mắc cài sứ
Niềng răng mắc cài sứ có cơ chế hoạt động tương tự niềng răng mắc cài kim loại; tuy nhiên mắc cài kim loại sẽ được thay thế bởi vật liệu sứ nguyên chất, lành tính và có màu sắc tương đồng đến 95% răng thật. Ngoài ra mắc cài sứ được thiết kế ít gờ cạnh, thuận tiện cho việc ăn uống, phát âm, không làm dày môi hay gây kích ứng cho mô mềm trong khoang miệng.
Niềng răng trong suốt
Niềng răng trong suốt hay còn gọi là niềng răng không mắc cài 3D Clear sử dụng khay niềng trong suốt thay vì hệ thống mắc cài-dây cung phức tạp. Khay niềng được thiết kế riêng cho từng bệnh nhân nên sẽ đảm bảo độ khít cao nhất. Bên cạnh đó bệnh nhân cũng có thể tháo lắp khay niềng một cách linh hoạt trong các tình huống cần thiết. Độ xiết của khay niềng cũng rất mạnh, bệnh nhân sẽ cảm nhận được răng di chuyển mỗi ngày.
Nếu bệnh nhân đang có nhu cầu muốn cải thiện hàm răng thưa của mình thì nên đến nha khoa để bác sĩ kiểm tra, đánh giá tình trạng và tư vấn cho bạn phương pháp phù hợp nhất nhé.
Bài viết được trích nguồn từ: https://niengranginvisalignthammy.blogspot.com
Thông tin liên hệ:
Trung tâm nha khoa Đăng Lưu
Cơ sở 1: 34 Phan Đăng Lưu, P.6, Q.Bình Thạnh - (+84 8) 6297 7148
Cơ sở 2 : 540 Trần Hưng Đạo, P.2, Q.5 - (+84 8) 6682 0246
Hotline: (+84 8) 66820246
Ngavvt